2023年12月10日,冰球突破豪华版官方网站陈苏仁课题组联合国家卫生健康委科学技术研究所王彬彬课题组和北京协和医院李宏军课题组在国际临床转化期刊Clinical and Translational Medicine(IF=10.6)在线发表了题为The pathogenic AKAP4 variant causes male infertility in humans and mice的研究论文,揭示了AKAP4基因c.1286G>A/p.R429H突变是男性不育新的致病遗传因素。

合作团队在北京协和医院生殖医学中心招募到一个男性不育症家系,家系中俩兄弟表现为无精子症,即精液中完全没有精子。经全外显子测序和Sanger验证发现患者兄弟都携带AKAP4基因c.1286G>A/p.R429H突变,其很可能是导致男性不育的致病遗传原因(图1)。

图1. AKAP4基因突变患者家系及基因检测
AKAP4为睾丸特异性表达蛋白,定位于精子鞭毛的纤维鞘。已有报道发现,Akap4基因敲除小鼠雄性不育,主要影响精子鞭毛纤维鞘发育[1]。2021年,四川大学华西第二医院许文明课题组在几例少弱畸形精子症患者中发现了AKAP4蛋白第429位氨基酸的变异(与本研究变异位点相同)[2]。
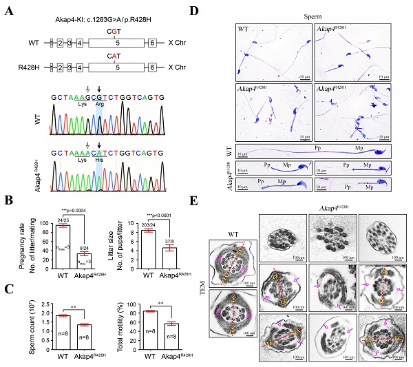
为了证明该位点突变(p.R429H)的致病性,合作团队继而利用CRISPR/Cas9基因编辑技术构建了Akap4基因点突变小鼠。Akap4基因该位点突变影响雄性小鼠的生育力,点突变小鼠表现为精子数量减少、运动能力降低、鞭毛纤维鞘发育异常(图2)。

图2. Akap4基因点突变小鼠生育力和精子表型分析
该项研究提示,AKAP4基因c.1286G>A/p.R429H突变是男性不育新的致病遗传因素,将为男性不育的基因诊断、辅助生殖治疗和遗传咨询提供重要参考,相关研究成果未来有望应用于临床实践(图3)。

图3. 模式图
冰球突破豪华版官方网站陈苏仁、北京协和医院李宏军和国家卫生健康委科学技术研究所王彬彬为文章的共同通讯作者,陈苏仁课题组已毕业硕士张晓慧为共同一作,该项研究受到北京市自然科学基金、国家重点研发计划子课题和细胞增殖与调控教育部重点实验室开放基金等资助。感谢参与该项研究的临床患者家庭!
原文链接:
https://onlinelibrary.wiley.com/doi/full/10.1002/ctm2.1463
参考文献:
1. Miki K, Willis WD, Brown PR, Goulding EH, Fulcher KD, Eddy EM. Targeted disruption of the Akap4 gene causes defects in sperm flagellum and motility. Dev Biol. 2002; 248(2):331-42.
2. Zhang G, Li D, Tu C, Meng L, Tan Y, Ji Z, Cheng J, Lu G, Lin G, Zhang H, Sun J, Wang M, Du J, Xu W. Loss-of-function missense variant of AKAP4 induced male infertility through reduced interaction with QRICH2 during sperm flagella development. Hum Mol Genet. 2021; 31(2):219-231.